症例紹介

犬の僧帽弁閉鎖不全症の症状や原因、治療法について獣医師が解説|茨城県つくば市のうめぞの動物病院

循環器科

茨城県つくば市・土浦市・牛久市・つくばみらい市・阿見町の皆様、こんにちは。
茨城県つくば市にあるうめぞの動物病院です。
今回は、犬の僧帽弁閉鎖不全症について、病気の症状や原因、治療法について解説していきます。
当院では、犬の僧帽弁閉鎖不全症の治療を行っておりますので、お悩みの場合は一度ご相談ください。

僧帽弁形成不全症とは

僧帽弁形成不全症は、犬の心臓病で最も多い疾患です。
心臓の僧帽弁が正常に閉まらず、血液が逆流してしまう病気です。この症状は通常、老齢の小型犬(チワワ、トイプードル、ポメラニアン、ヨークシャーテリア、キャバリアなど)によく見られます。

僧帽弁形成不全症の症状

初期には、明らかな症状が見られないですが、病態が進行すると、喉に何かが引っかかっているような『えずくような咳』をするようになります。
さらに、症状が進行すると、命に関わる肺水腫にがなってしまいます。

僧帽弁閉鎖不全症の原因

犬の僧帽弁閉鎖不全症の原因は、はっきりわかっていませんが、僧帽弁に「粘液腫様変性」という変化が生じることが始まりです。これにより僧帽弁はもろくなったり、ぶ厚くなったりして、隙間が出来て血液が逆流します。また、僧帽弁を支えている「腱索」という組織が伸びてしまうことがあり、こういった変化により僧帽弁の閉じる位置が変化してしまうのです。すると、本来は左心房から左心室へと流れる血液が逆流しないようにする構造であるはずの僧帽弁が、きちんと閉まることができなくなります。

僧帽弁閉鎖不全症の診断

犬の僧帽弁閉鎖不全症の診断は、
1.聴診:聴診器による聴診で、僧帽弁で血液が逆流することで発生する『心雑音』を聴取します。

2. 超音波検査(エコー):エコー検査で、僧帽弁の形態の異常や、僧帽弁での血液の逆流を確認します。また、心臓に負担がかかって、心拡大が起きているかどうかを調べられます。


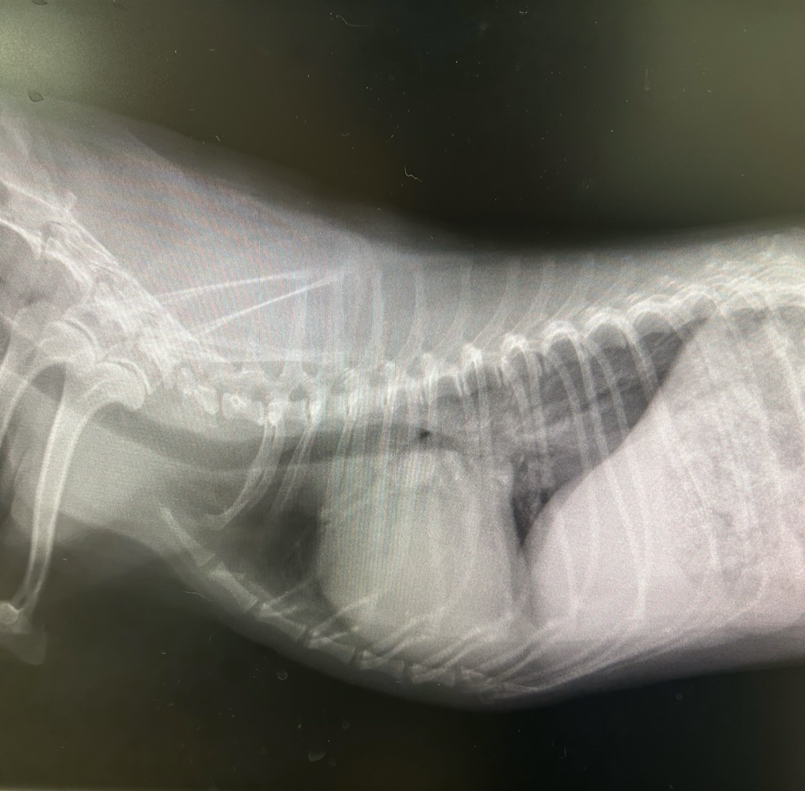
3. X線検査: 心臓に負担がかかって、心拡大が起きていないか調べられます。また、『肺水腫』が起きているかどうかもわかります。

4.血液検査:一般的には、聴診で『心雑音』が聴取できますが、心臓病のバイオマーカーを検査することもあります。

僧帽弁閉鎖不全症の治療

1.内科治療:血管拡張剤と強心薬を用いて治療します。また、お薬の用量を増やしても、進行する場合には、利尿薬も併用します。

2.外科治療:お薬を内服する内科治療が一般的ですが、お薬(強心薬や利尿剤)を使用していても、心臓病の進行が早い場合には、僧帽弁の修復を行う外科的手術を実施することもあります。
壊れてうまく閉鎖できなくなった僧帽弁を修復する僧帽弁形成術が行われています。弁の先端と乳頭筋に新しい人工腱索を入れる腱索再建術と、広がってしまった弁周囲に糸をかけて縮める弁輪縫縮術の2つを基本的に実施されています。

当院で実施している僧帽弁閉鎖不全症の治療は、お薬を内服する内科治療になります。
外科的な手術が必要な場合には、僧帽弁形成術を実施している病院をご紹介しております。

うめぞの動物病院の循環器治療はこちらから

症例報告

犬種

キャバリア

年齢

13歳

治療前の写真


治療後の写真




うめぞの動物病院の循環器治療はこちらから